CLEARINGSERVICE - FALL 1

Zweiter unterer Prämolar als transparentes Präparat in der Ansicht von approximal

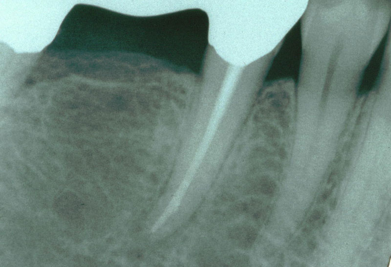
Wurzelrest nach Versuch der Kariesentfernung
Fülltechnik: Apikaler Mastercone und Guttaperchakompaktierung mit einem
Kompaktor
Extraktionsgrund: kariöse Zerstörung des Zahnstumpfs nach unbemerkter
Abzementierung des Brückenankers
Dicht erscheinende Füllung im Bereich der Wurzelkanalpräparation und der
finartigen akzessorischen Hohlräume
Im apikalen Drittel sind ein größerer und ein kleiner Seitenkanal aufgrund
von eingeflossenem Füllmaterial sichtbar.
Ein dichter Verschluss liegt in den Seitenkanälen nicht vor.
Die dunklen Pigmente im apikalen und mittleren Wurzeldrittel können nicht
zugeordnet werden.
Röntgenbild unmittelbar vor Extraktion

ERGÄNZUNG: Ähnlicher Fall eines oberen zweiten Prämolaren als transparentes Präparat in der Ansicht von approximal

Klinisches Röntgenbild unmittelbar vor Extraktion
Extraktionsgrund: kariöse Zerstörung des Zahnstumpfs bei
ernährungsbedingt generalisierter, florider Karies.
Die Wurzekanalfüllung füllt die Pulpahohlräume auf ganzer Länge gut aus
und erfasst den gesamten Querschnitt. D. Ricuccis histologische
Untersuchungen vergleichbarer Fälle deuten auf eine gute mikrobiologische
Abdichtung durch vollständige Wurzelkanalfüllungen hin.
Ein kleiner Seitenkanal ist durch eingeflossenen Sealer erkennbar.
Verteilung von Sealer und Guttapercha ist gut erkennbar.


zurück zur Galerie

Imprint / Data protection | german version | YC 2019