CLEARINGSERVICE - FALL 7

Unterer Schneidezahn mit umschriebener Wurzellängsfraktur, die sich bei der Obturation mit einem Kompaktor #35 in vitro ereignete, als transparentes Präparat in der Ansicht von approximal

Ausschnitt der frakturierten Region und Ansicht des Zahns und
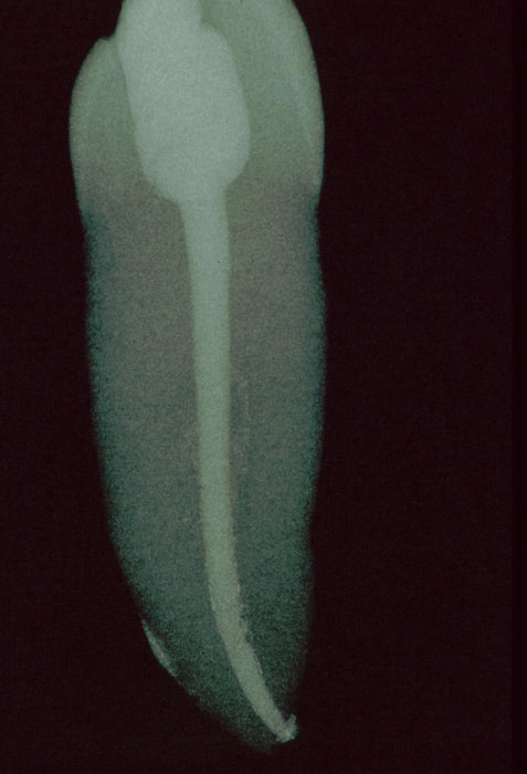
Röntgenkontrolle nach Obturation
Ausschließlich Sealer (AH plus) ist lingual durch den Frakturspalt
ausgetreten. Auf Höhe der Fraktur deutet eingeflossener Sealer darauf hin,
dass sich die Fraktur bis in die labiale Seite der Wurzel erstreckt.
Akzessorische, lingual und labial lokalisierte Hohlräume sind durch Sealer
und auch etwas Guttapercha dargestellt aber nicht dicht gefüllt, während
die Guttaperchafüllung des präparierten Wurzelkanals dicht erscheint.


Transparentes Bild eines anderen unteren Schneidezahns, der mit einem
apikalen Guttaperchateilstift (schwarz eingefärbt) und anschließender
Füllung mit warmer Beta-Guttaperch/AH plus mit einem Kompaktor gefüllt
wurde.
Die Verteilung von Sealer und Guttapercha ist gut erkennbar. Der präparierte
Wurzelkanal und seine lingualen akzessorischen Hohlräume sind vollständig
und dicht gefüllt.
Im apikalsten Anteil des Wurzelkanals ist vermutlich durch einen
Präparationsfehler artifiziell entstanden. Das Ursprüngliche Foramen ist
labial davon zu sehen und enthält Sealer.


zurück zur Galerie

Imprint / Data protection | german version | YC 2019